| 胃ポリープとは、胃の粘膜上皮に局所的に隆起(りゅうき)した病変です。 ポリープには最も多い①過形成(かけいせい)性ポリープをはじめ、②胃底腺ポリープ、 特殊なポリープとして③腺腫(せんしゅ)などがあります。 |
| ①過形成性ポリープ | 過形成性ポリープの発生は30歳以上で年代と共に増加する傾向にあり、腸上皮化生(胃がんと非常に関連のある組織)との関連はあまりなく、がん化することはまれです。 直径2~3センチの大きさでとどまり非常に赤く、表面にイチゴのような顆粒状の凹凸があるのが特徴です。出血やびらんも多くみうけられます |
| ②胃底腺ポリープ | 胃底腺ポリープは、胃底腺の粘膜に発生し、数個以上発生します。女性に多く、胃底腺の粘膜は萎縮(いしゅく)せず、状態が良好なことが特徴です。 粘膜の変化は、胃の大彎側(だいわんそく)を中心とした胃壁に多く見られます。数ミリ程度の半球状のポリープで、表面は滑らかで、特に色の変化はなく、多発します。 |
| ③腺腫 | 腺腫は、高齢者で腸上皮化生をもつ、かなり萎縮した粘膜にみられます。男性に多く男女比は4:1です。高齢者の萎縮性粘膜にみられ、形はドーム型、平たいもの、花壇状など様々です。灰白色で整った凹凸があります。 |
| 一般に無症状です。 胃もたれや不快感、食欲不振などの症状がみられることがありますが、 多くは同時に発症している慢性胃炎によるものです。 |
||
| 粘膜の状態やポリープ表面の凹凸の状態を観察します。 | ||
| ポリープの観察だけでなく、場合により生検をして、ポリープの詳細な情報を得ます。 | ||
| ①過形成性ポリープの場合、小さなものは放置可能で年1回の経過観察をし、2センチ以上の大きいものは内視鏡的治療により切除します(ポリペクトミー)。 | |||
| ②胃底腺ポリープは一般的に放置して心配ないといわれています。 | |||
| ③腺腫の小さなものは、半年~1年に1回の検査で経過観察します。大きなもの(2センチ以上)や、がんとの識別がはっきりしないものは、内視鏡的治療により、粘膜の切除をします。 | |||
| 症例(胃ポリープ切除1) | |||
![]() |
![]() |
![]() |
|
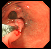
| ポリープ | 根元に生理食塩水を注入して水ぶくれ状態をつくり、膨らんだその部分に スネアをかけて高周波の電流を流し病変部を焼き切っている状態。 |
||
![]() |
![]() |
||
| 切除した部分をクリップで止血 | ポリープ切除した部分の1ヶ月後の粘膜 | ||
| 症例(胃ポリープ切除2) | |||
![]() |
![]() |
![]() |
|
| ポリープ | 色素をかけよりポリープを 見やすくしたもの |
根元に生理食塩水を注入して 水ぶくれ状態をつくっている所 |
|
![]() |
![]() |
||
| ポリープが盛り上がった状態 | 膨らんだその部分にスネアをかけて高周波の 電流を流し病変部を焼き切っている状態 |
||
![]() |
![]() |
![]() |
|
| ポリープを取った後 | 切除した物を回収 | 切除した部分をクリップで止血 | |