| 大腸粘膜に隆起する組織を大腸ポリープといいます。ポリープは、直腸とS状結腸に高い確率で発生し、大きさは数ミリから3センチ程度まであります。大きく腫瘍性、非腫瘍性に分けられます。非腫瘍性の中には、過誤腫性、炎症性、過形成性ポリープがあります。腫瘍性は腺腫です。最も多いのが腺腫で、次が過形成性ポリープです。この腺腫が問題で、大腸に100個以上の腺腫ができるのを大腸腺腫症といい、放置すれば100%大腸がんを発生します。腺腫のポリープは数年かけて進行し、その一部ががん化します。 |
| 小さなポリープはほとんど症状がありませんが、大きくなってくると、 便潜血(べんせんけつ)や鮮血便(せんけつべん)の症状がでます。 ![]() |
||
| ポリープの有無確認。 大きさ、形状、色調等を観察します。 |
||
| 腺腫の疑いがあるものは切り取ります。 基本的にポリープは、内視鏡で見ながら切除するポリペクトミーを行います。大きな病変は内視鏡による粘膜切除を行い病巣全体の病理検索を行います。5ミリ以下のポリープではがん化のリスクが低いため、ホットバイオプシー(焼灼切除し、生検を行う)でよいとされています。 非腫瘍性の小さなポリープは基本的には治療をしませんが、若年性ポリープなどは症状によってポリペクトミーを行います。 |
||
| 症例1(大腸ポリープ切除) | |||
![]() |
![]() |
||
| ポリープ | 根元に生理食塩水を注入して水ぶくれ状態をつくり、膨らんだその部分に スネアをかけて高周波の電流を流し病変部を焼き切っている状態。 |
||
![]() |
![]() |
![]() |
|
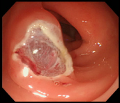
| ポリープを切除した後 | 切除した部分をクリップで止血 | ポリープを回収 | |
| 症例2(大腸ポリープ切除) | |||
![]() |
![]() |
![]() |
|
| ポリープ | ポリープを切除した後 | 切除した部分をクリップで止血 | |